×
개인정보 취급방침
개인정보 처리방침에 대한 내용을 입력하십시오.
×
이용약관
서비스 이용약관에 대한 내용을 입력하십시오.
치과 소개
대표원장 인사말
의료진 소개
병원 둘러보기
진료시간/오시는 길
치과 특장점
분과별 전문의
대형병원급 최신식 시설
무섭지 않은 치과
자체보증프로그램을 통한 사후관리
지역사회와 상생하는 착한치과
임플란트
임플란트 특별함
수면 임플란트
디지탈 가이드 임플란트
원데이 임플란트
뼈이식 임플란트
상악동 거상술
틀니 임플란트
최소 임플란트 전악보철
치아교정
치아교정 특별함
나이별 치아교정
증상별 치아교정
클리피씨 교정
투명 교정
이지핏교정
소아교정
유니커버
라미네이트
올세라믹 크라운
치아미백
일반치료
자연치아 살리기
충치치료
신경/근관치료
스케일링
치주치료
사랑니 발치
보톡스/이갈이
골융기 절제술
KakaoTalk ID : 연세유앤아이치과의원
Tel. 02.3662.2877
Address. 서울특별시 강서구 마곡동로4길 23 더 퍼스트스테이 호텔(구. 루체브릿지) 3층
로그인
치과 소개
대표원장 인사말
의료진 소개
병원 둘러보기
진료시간/오시는 길
치과 특장점
분과별 전문의
대형병원급 최신식 시설
무섭지 않은 치과
자체보증프로그램을 통한 사후관리
지역사회와 상생하는 착한치과
임플란트
임플란트 특별함
수면 임플란트
디지탈 가이드 임플란트
원데이 임플란트
뼈이식 임플란트
상악동 거상술
틀니 임플란트
최소 임플란트 전악보철
치아교정
치아교정 특별함
나이별 치아교정
증상별 치아교정
클리피씨 교정
투명 교정
이지핏교정
소아교정
유니커버
라미네이트
올세라믹 크라운
치아미백
일반치료
자연치아 살리기
충치치료
신경/근관치료
스케일링
치주치료
사랑니 발치
보톡스/이갈이
골융기 절제술
임플란트
임플란트
치과 소개
치과 특장점
임플란트
치아교정
심미치료
일반치료
최소 임플란트 전악보철
임플란트 특별함
수면 임플란트
디지탈 가이드 임플란트
원데이 임플란트
뼈이식 임플란트
상악동 거상술
틀니 임플란트
최소 임플란트 전악보철
YONSEI YOU&I DENTAL CLINIC
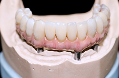
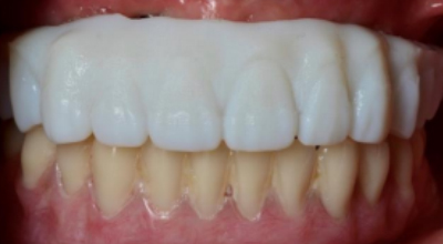
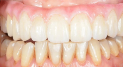
최소 임플란트 전악보철
무치악 환자에게 적합한
최소 임플란트 전악보철
뼈이식 없이도 가능한 방법!
최소 4~6개의 임플란트를 심고, 그 위에 티타늄으로 된
금속 구조물을 이용하여 보철물을 고정하는 방식입니다.
치아가 하나도 없는 무치악인 경우 적합한 치료 방법입니다.
01
최소 임플란트 전악보철
시술과정
STEP 01
구강스캐너, CT촬영을 통해
인상 채득
STEP 02
임플란트와 금속구조물(티타늄바) 연결
STEP 03
고정식 임시보철물 장착
STEP 04
최종 보철물 완성
02
틀니 vs 임플란트 vs 틀니 임플란트
완전틀니
장점
가격이 상대적으로 저렴합니다.
단점
입 안에서 잘 빠질 수 있으며, 씹는 힘이 약합니다.
임플란트
장점
자연치아와 유사한 기능과 심미성을 지니고 있습니다.
단점
무치악 환자의 경우, 뼈가 충분해야 하며, 다수의 임플란트 식립 시, 비용에 대한 부담이 있습니다.
오버덴쳐
장점
임플란트 2개 식립 후 틀니를 고정하기 때문에 일반 틀니에 비해 고정력이 좋습니다.
단점
지속적인 사용에 의해 헐거워 질 수 있고, 레진으로 제작되어 시간 경과에 따라 유지보수가 필요합니다.
03
최소 임플란트 전악보철
특징
01
자연치아의 70~80% 저작력을
회복할 수 있습니다.
02
스크류로 고정되어 있어 빠지지 않고
번거로움이 적습니다.
03
절개, 뼈 이식 등을 최소화 할 수 있어
체력부담이 덜합니다.
04
입천장을 덮지 않아
발음이 새지 않습니다.
05
구강세정기 및 세정제를 통해
위생관리가 용이합니다.
06
3차원스캐너로 장치 정보를
저장하여 언제든지 똑같은
장치제작이 가능합니다.
04
최소 임플란트 전악보철
이런분께 추천드립니다!
다음과 같은 경우 최소 임플란트 전악보철를 통해 자연스러운 치아로 회복하실 수 있습니다.
기존 완전 틀니나
탈착식 틀니가 불편한 분
치아가 하나도 없어
전악 보철을 해야 하는 분
65세 이상의
고령층 인 분
전체임플란트 비용이
부담되는 분
01
보건복지부 인증 분과별 전문의 진료
02
쾌적한 시설과 장비 보유
03
아프지 않은 치료 노하우
04
고난이도 수술 전문 치과
01
보건복지부 인증
분과별 전문의 진료
치과보철과, 치과보존과, 치과교정과, 통합치의학과 등 보건복지부 인증을 받은
전문 의료진들이 진료하여 각 분야 협진을 통해 치료합니다.
02
서울대학교
치과대학 동문병원
서울대학교 치과병원의 시스템과 노하우를 그대로,
서울대 출신의 전문 의료진들이 협진을 통한 진료를 시행합니다.
03
대형병원급 시설과
최첨단 장비 보유
최첨단 3D 프린터(ONEJET)를 통한 한 치의 오차 없는
맞춤 보철물로 100%의 수술이 가능합니다.
04
아프지 않은
최소 통증 노하우
무통 마취기(NO PAIN)를 통한 최소 통증 마취와 수많은 임상경험을 바탕으로
한 의료진의 노하우로 아프지 않은 치료가 가능합니다.
01
보건복지부 인증
분과별 전문의 진료
보건복지부 인증 분과별 전문의가 상주하여,
보다 전문적인 진료를 받아보실 수 있습니다.
02
쾌적한
시설과 장비 보유
세밀한 진단과 치료를 위한 첨단 장비와
편안하고 깨끗한 시설로
검진과 진료가 가능합니다.
03
아프지 않은
치료 노하우
통증이 두려운 환자 입장을 고려하여
편안하고 아프지 않은 진료를 위해 노력합니다.
04
고난이도 수술
전문 치과
오랜 노하우를 바탕으로 진단부터 수술,
사후관리까지 전문의가 책임지고 진료합니다.
안 아프고 편안한 연세유앤아이치과
상담 및 예약 바로가기
+
문의 및 상담전화
02.3662.2877
진료안내
월요일
AM 10:00 - PM 09:00 (야간진료)
화·수·목·금
AM 10:00 - PM 07:00
점심시간
PM 01:00 - PM 02:30
토요일
AM 10:00 - PM 02:00
※
토요일은 점심시간 없이 진료합니다.
※
일요일 및 공휴일은 휴진입니다.