유니커버

YONSEI YOU&I DENTAL CLINIC

치아미백

밝고 투명한 치아를 위한
치아미백

얼굴의 30%를 차지하고 있는 입, 아름다운 미소에 있어서 가지런하고 고른 치아 뿐 아니라 밝고 투명한 치아색 역시
꼭 필요한 부분입니다.
연세유앤아이치과는 숙련된 전문의료진의 풍부한 진료 경험과
성공노하우로 만족도 높은 시술 결과를 선사합니다.
01

치아미백 종류

  • 전문가 미백

    고농도의 미백제를 이용, 빠른 시간내에 높은 효과를 볼 수 있으며 전문 의료진에 의한 안전한 맞춤형 미백치료
    자가미백과 병행하면 효과가 극대화되며 최근 경향은 보다 더 밝고 환한 치아를 원하시는 분이 많아 자가미백으로 만족할 수 없는 분에게 권하며 치아착색정도에 따라 1~2회 정도로 시행됩니다.
  • 자가미백

    저농도의 미백제를 사용하며 개인 맞춤형 미백틀을 사용하여 2주간 매일 일정한 시간에 미백틀을 사용하는 방법
    집에서 직접 미백제를 사용하는 방법으로 낮에 2시간 사용하는 방법과 밤에 잘 때 끼고 자는 방법이 있습니다. 치아 착생 정도에 따라 2주에서 4주정도 매일 또는 격일로 사용하게 됩니다.
  • 실활치미백

    미백 약제를 신경관에 주입하여 별도의 보철 없이도 주변치아와 유사한 색상으로 만들어주는 방법
    생활력을 잃고 변색된 치아에 신경치료 시행 후 치수강 내에 미백용 약제를 적용하는 것으로 주기적으로 내원하여 약제를 교체합니다. 대개 1~3주간 치료 시간이 소요됩니다.
02

전문가미백 시술과정

고농도의 전문 미백제를 이용, 빠른 시간내에 높은 효과를 볼 수 있습니다.
  • 01
    전문가 미백 상담
  • 02
    스케일링
  • 03
    입술 비타민제 도포
  • 04
    트리니티 미백제 도표
  • 05
    치아 광택처치
  • 06
    치아 보호처치
  • 07
    입술 비타민제 도포
  • 08
    치아미백 완료
03

정품 뷰티스 치아미백제

시린증상 최소화!, 뛰어난 미백효과! 인증된 정품!

급속 15%와 저시림 3% 모두 보유한 미백제는 오스템 BeauTis 입니다.
04

전문가 미백, 이런분께 추천드립니다!

  • 치아의 색이
    콤플렉스인 분
  • 커피, 콜라, 음주, 흡연등에
    의해 치아가 착색되신 분
  • 금연 후 하얀 치아를
    원하시는 분
  • 치아 교정 후 하얗고
    깨끗한 치아를 원하시는 분
  • 치아색이 선천적으로 누런분
  • 나이가 들면서 치아가
    누렇게 변한 분
  • 더 밝고 깨끗한 아름다운
    미소를 원하시는 분
05

자가미백 (홈플리칭) 과정

저농도의 미백제를 사용하며 개인 맞춤형 미백틀을 사용하여 2주간 매일 일정한 시간에 미백틀을 사용하는 방법
  • 01
    구석구석 깨끗한 양치질
  • 02
    마른수건으로 치아표면 깨끗히 닦기
  • 03
    치아틀에 미백제 바르기
  • 04
    치아틀을 치아에 끼우기
  • 05
    일정시간 후 깨끗히 양치질
  • 06
    치아표면을 깨끗히 닦아 확인
  • 07
    흐르는물에 사용한 치아틀 씻기
    *반드시 찬물사용
  • 08
    치아틀을 말린 후 전용용기에 보관
06

자가 미백, 이런분께 추천드립니다!

  • 전문가미백의 효과를
    오래 지속하고 싶으신 분
  • 커피나 와인 흡연 등 착색이
    잘 되는 습관을 가지신 분
  • 시린이 증상이 심한데 미백치료를
    주기적으로 원하시는 분
  • 치아 교정 후 하얗고
    깨끗한 치아를 원하시는 분
  • 나이가 들면서 치아가
    누렇게 변한 분
  • 더 밝고 깨끗한 아름다운
    미소를 원하는 분
07

연세유앤아이치과 치아미백 장점

  • 안전하고 확실한 미백제 사용

    국내에서 생산된 효과가 입증된
    정품 미백제만을 사용하여 안전하고
    믿을 수 있습니다.

  • 개인별 맞춤 미백치료

    개인의 치아 상태와 치아색을
    고려하여 충분한 상담 후
    프로그램을 진행합니다.

  • 저자극 치료

    미백제와 특수광선의 양을 개인에 따라
    조절하여 시술하여 시린이 증상, 잇몸 자극없이
    빠르고 안전하게 치료합니다.

08

눈으로 직접 확인하여 치아미백 치료를 선택하세요!

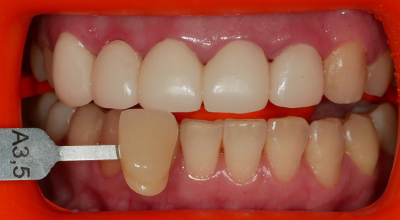
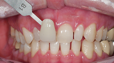
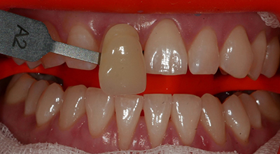
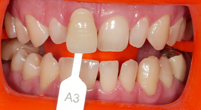
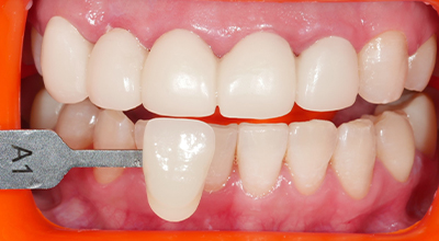
치아대조표 16단계표를 이용하여 본인의 치아색상상태를 평가합니다.
치아색은 A1~D4까지 총 16단계로 구분 짓습니다. B1에 가까울수록 자연치의 밝은 색이며 C4에 가까울수록 어두운 색에 해당합니다.
20~30대 연력층에 평균적인 치아색은 A2 정도이며 A3부터는 어두운 치아색에 속합니다.
보통은 자신의 치아색보다 2~3단계 밝게 진행하는 것이 좋습니다.

Case1

40대 여성

Case2

20대 여성

Case3

30대 남성

Case4

30대 여성

안 아프고 편안한 연세유앤아이치과

문의 및 상담전화

02.3662.2877

  • 진료안내

    월요일 AM 10:00 - PM 09:00 (야간진료)
    화·수·목·금 AM 10:00 - PM 07:00
    점심시간 PM 01:00 - PM 02:30
    토요일 AM 10:00 - PM 02:00
    • 토요일은 점심시간 없이 진료합니다.
    • 일요일 및 공휴일은 휴진입니다.